
Luogo e Data
đ Dove? Monteroni di Lecce (LE)
đ Quando? 28 agosto 2025 alle ore 09:31
Descrizione
Does Cannabis Smoke Cause Interstitial Lung Disease?
A cura di: Mario Bisconti
Autori: Bisconti M, Martucci P, Minutillo A, et al.
Rif. Biblio: J Clin Med 2025;14:5054
Premessa
Studi riportano ILD (Interstitial Lung Disease) da riferita assunzione di sostanze. Il nostro lavoro, invece, analizza una correlazione fra Cannabinoidi nel BAL (BronchoAlveolar Lavage) o tessuto polmonare e TC-Torace di ILD. Confronta il tossicologico del BAL con quello del sangue.
Analisi
Primo gruppo.
Sono 26(18-56 anni) i soggetti sottoposti a BAL e TC-Torace: 12 sono cannabinoidipositivi, 4 cocainapositivi, 10 negativi. La TC-Torace mostra ILD in 9/12 (75%) BAL/cannabinoidipositivi e in 2/10 (20%) BAL/cannabinoidinegativi. P=0,0300 significativo avvalora la responsabilitĂ dei Cannabinoidi nel favorire ILD.
Tra i 9 BAL/cannabinoidipositivi osserviamo: groud glass opacities in quattro soggetti (44.4%), tre in bud sign in 2% (22.2%), micronoduli bilaterali in uno (11.1%), consolidations in uno (11.1%). Nei 2 BAL/cannabinoidinegativi: groud glass opacities in entrambi (100%), tre in bud sign in 0%, micronoduli bilaterali 0%, consolidations 0%.
Presentano ILD i 3/4 (75%) dei cocainapositivi. La femmina, fumatrice passiva di due-tre sigarette di Cannabis fumate dal compagno, ha emoftoe, ematuria, proteinuria e cANCA positivi. TC-Torace di ground glass opacity, BAL/cannabinoidipositivo. Istologico di biopsia renale: glomerulonefrosi focale segmentale, come probabile esito evolutivo di precedente forma vasculitica paucimmune ANCA associata, in fase di remissione.
Sottogruppo
Tra 13 pazienti sottoposti nello stesso momento a tossicologico su BAL e su sangue, 9/13 (il 69,23%) sono BAL/cannabinoidi/cocaina/positivi. Di questi, 4/13 (30,76%) sono cannabinoidipositivi su BAL e sangue in contemporanea, suggerendo un trasferimento della sostanza dal polmone al sangue; 0/13 (0%) sono positivi soltanto su sangue. P = 0,0005 significativo, suggerisce di ricercare la droga nellâorgano patologico, ossia nel BAL, non nel sangue. Escludendo dal conteggio i quattro casi confondenti, dove la droga compare contemporaneamente nel BAL e nel sangue, rimangono nove pazienti. Tra questi 5/9 (55.55%) hanno droghe nel BAL e 0/9 (0%) nel sangue con P= 0,02 significativo. Quindi il tossicologico negativo su sangue non garantisce la non assunzione.
Secondo Gruppo
Gli pneumotoraci sottoposti ad apicectomia e TC-Torace sono 15 maschi, 18-51 anni, fumatori di tabacco e cannabis. Uno assume anche cocaina ed eroina. Tempo medio di esposizione alla Cannabis: 9,5 anni.
ILD emerge alla TC-Torace in 4/10 (40%) con pezzo operatorio cannabinoidipositivo, in 0/5 (0%) con pezzo operatorio cannabinoidinegativo. Tra i 4 cannabinoidipositivi emerge: ground glass opacities in uno, (25%), ground glass opacities e consolidazioni insieme in due, (50%), micronoduli in uno, (25%).
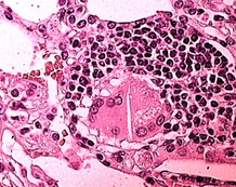
Il paziente della Figura 1 fuma 20/sigarette/tabacco/die da 20 anni;sniffa cocainauna volta al giorno da 10 anni. Tossicologico urine positivo alla cocaina. La TC-Torace mostra ILD,il BAL alveolite linfocitaria CD4, aumento neutrofili ed eosinofili, numerose cellule giganti, mastociti e corpi birifrangenti. Lâistologico della resezione atipica della Lingula mostra: fibrosi interstiziale, focolai granulomatosi. La valutazione del vetrino al microscopio a luce polarizzata mostra birifrangenza di inclusioni aghiformi (Figura 1). Non potendo derivare da altre fonti, bisogna attribuirle alla cocaina tagliata con talco o cellulosa. Essendo cristalli sottili ed allungati, di dimensioni fra 10 e 40 micron e morfologia di fibre organiche, esse sono di cellulosa. La diagnosi alla dimissione è stata: fibrosi e granulamatosi polmonare da cocaina tagliata con cellulosa.
Considerazioni
ILD sono alterazioni dellâinterstizio and air space of the lung: groung glass opacities, reticular marking, thickened airwais, diffuse centrilobular nodules, pulmonary fibrosis, Desquamativ Interstitial Pneumoniae (DIP) e altre. Fra le cause anche le sostanze dâabuso.
Primo Gruppo: ILD emerge alla TC-Torace nel 75% (9/12) dei BAL/cannabinoidipositivi e nel 20%(2/10) dei BAL/cannabinoidinegativi. Il p=0,0300, ratifica che i cannabinoidi provocano ILD.
Secondo Gruppo: ILD compare alla TC-Torace in 4/10 (40%) con pezzo operatorio cannabinoidipositivo, in 0/5 (0%) con pezzo operatorio cannabinoidinegativo.
Ildifferente riscontro TC-Torace di ILD, nel 75% dei pazienti del Primo Gruppo sottoposti al BAL, rispetto al 40% di quelli del Secondo Gruppo operati di PNX è dovuto al tempodi esposizione al fumo di cannabis. Primo Gruppo: sono pazienti anziani, il tempo medio di esposizione 15 anni spiega il maggior numero di soggetti con ILD (75%). Secondo Gruppo: pazienti giovani, il tempo medio di esposizione - 9.5 anni - giustifica meno soggetti con ILD (40%), ratificando lâazione nociva della cannabis correlata al tempo di esposizione.
Secondo Gruppo: la cellularitĂ dellâistologico del pezzo operatorio giustifica lâazione della cannabis nel provocare ILD. Macrofagi, linfoplasmacellule, cellule giganti da corpo estraneo sostengono lâazione dei cannabinoidi nellâinfiammazione cronica aspecifica, la secondaria lisi dei setti interalveolari e fibrosi interstiziale/DIP. La cellularitĂ proinfiammatoria compare in 9/10 (90%) con tessuto/cannabinoidipositivo, in 0/5 (0%) con tessuto/cannabinoidinegativo. Macrofagi in 6/10 (60%) cannabinoidipositivi, in 0/5 (0%) cannabinoidinegativi; linfoplasmacellule in 2/10 (20%) cannabinoidipositivi, in 0/5 (0%) Cannabinoidinegativi; Cellule giganti da corpo estraneo in 3/10 (30%) Cannabinoidipositivi, in 0/5 (0%) cannabinoidinegativi, definendo, per la prima volta nella letteratura medica internazionale la fenotipizzazione tessutale dei Cannabinoidi: Fenotipo Macrofagico, Fenotipo Linfoplasmacellulare, Fenotipo Cellule Giganti da corpo estraneo.
DIP compare in 5/10 (50%) con tessuto operatorio cannabinoidipositivo, 1/5 (20%) con tessuto operatorio cannabinoidinegativo. Accumulo di Macrofagi nei cinque pazienti con DIP cannabinoidipositivi; assenzanellâunico con DIP cannabinoidinegativo.Supportando la cannabis nel provocare DIP, avvalorata dalla giovane etĂ 24-27 anni. Nella DIP da altre cause, l'etĂ media di inizio dei sintomi è tra 40 e 60 anni. Sono responsabili anche additivi, adulteranti e sostanze da taglio: cellulosa, talco, amido (Figura 1). La loro ricerca nel granuloma appare cruciale per una diagnosi eziologica corretta.
Nei quattro pazienti del Primo Gruppo BAL/cocaina/positivo, la TC evidenzia Groud-Glass Opacities (25%), Consolidazioni (50%), Tree-in-bud pattern (25%).
Sottogruppo: eliminando lâelemento confondente dei quattro pazienti che presentano contemporaneamente la sostanza nel BAL e nel sangue, dove questa è migrata dalle vie respiratorie, sono il 55.55% quelli con cannabinoidi e cocaina nel BAL e 0% con le droghe residenti nel sangue (p=0,0005), ratificando lâattendibilitĂ diagnostica eziologica della droga nel BAL e non nel sangue.
Conclusioni
Primo Gruppo:questo è il primo report che dimostra la correlazione fra i cannabinoidi nel BAL e TC-Torace di ILD (p=0,0300), definendo lâILD da cannabis.
Sottogruppo: sostiene il passaggio dei cannabinoidi dallâapparato respiratorio al circolatorio e lâassente residenza nel sangue. Suggerisce, nelle patologie abbisognevoli di BAL, ricercare la droga nel BAL e non nel sangue.
La paziente fumatrice passiva, BAL cannabinoidipositiva da fumo di seconda mano, suggerisce studi in non assuntori attivi.
Bibliografia di riferimento
âAlzghoul BN, Abualsuod A, Alqam B, et al. Cocaine use and pulmonary ipertension. Am J Cardiol 2019;125:282-8.
Berthet A, De Cesare M, Favrat B, et al. A systematic review of passive exposure to cannabis. Forensic Sci Int 2016; 269:97-112
Galleria
Nessun elemento presente in galleria per questo evento.